フロンティア歯科クリニック

広島県東広島市の「フロンティア歯科クリニック」では、一般歯科・矯正歯科・インプラントなどを取り扱っています。

インフォメーション

患者様の声①

  • 治療期間4年 全ての銀歯、5回の歯周形成外科を行った50代女性

    最初に来院された時は前歯の審美障害だったのですが、他にも虫歯、形のよくない銀歯が入っていたので治療している歯は全てやり変えました。
    形の悪い銀歯が入っていることにより力がかかり虫歯や歯周病を増悪させたり、かみ合わせが当たっていない銀歯が入っていたら他の当たっている銀歯に余計に力がかかり歯が悪くなります。
    それだけでなく歯茎の性状、形態によりプラークがたまりやすくなり、虫歯もなりやすくなります。
    お口の環境を改善する為に、4回歯茎の外科処置をしました。

    大切なのは治した後、どれだけいい状態を保てるかだと思います。
    その為にはただ虫歯の治療をするだけでなく、顎、歯茎、筋肉、そして全体をみて治療する必要があります。

子供の頃から虫歯が多く、歯医者によく行っていました。
そのタイミングは痛くなって我慢が出来なくなってからでした。
でも今回は20代に入れた差し歯が変色して、話をするとき、写真のときすごく気になり治療に行きました。

さし歯2本を白くして終わりと考えていましたが、倉田先生に色のバランス、歯茎の状態、歯のかみ合わせ、数年後の歯の状態など、くわしく説明して頂き、歯茎の外科手術を受けました。
さし歯をいれるまで、時間はかなりかかりましたが、1本虫歯があり、計3本治療してもらいホワイトニングも合わせて自然な出来上がりにびっくりしました。
おかげ様でおもいっきり口を開けて笑えるようになり感謝しています。

このさし歯の他左右上下の奥歯をやり直して頂きました。
その都度治療の必要性を説明して頂き、4回の外科手術を受けました。
倉田先生の治療を信じていたので迷いはありませんでしたが、恐怖と痛みとの戦いでした。
口の中でこんなことができるのかと思うくらい、先生の技術力は驚くばかりでした。

恐怖も痛みも時間が経てば、忘れてしまいますが、もし倉田先生に会っていなかったら未来の私の歯はどうなっていたのか想像するとそちらの方が恐怖です。

とても明るい先生と優しいスタッフのみなさんのおかげで無事頑張って治療を終えることが出来ました。
これからも虫歯予防のためのケアをしっかりしていきたいと思います。
ありがとうございました。
  • 治療期間4ヶ月 義歯と銀歯、そして腰の治療を行った50代女性

    私の大学の大先輩です。
    腰を痛めて寝たきりになり、仕事が出来ないという話を聞いて、先輩の所に駆けつけました。
    歯と、体のバランスがとれていなくて症状が出ていました。噛む所も色々ずれて噛んでいました。
    そんなに悪くないのに 体がひずめば、かみ合わせの位置(下あごの位置)も変わります。
    体のひずみを治して、顎の位置を定めてかみ合 わせを1カ所で噛むように治療しました。
    大後輩の私の所までわざわざ通院してくれたことに感謝の気持ちでいっぱいです。

    歯だけ治療しても治りません。歯は体の一部なのになぜ歯だけ治療するのでしょうか?
    歯の治療により体にも影響が出ます。
    体を診ながら治療する必要があります。

広島から4か月通院させていただいた50代の歯科医師です。
右下と左上に部分入れ歯を入れていましたが、入れ歯の調子が良くなくて、噛める食べ物が限られていました。
仕事が忙しくてなかなか自分の口に構っている時間がなく、(歯医者なのにお恥ずかしいですが)最後には普通のご飯を食べるのもしんどくなっていました。
そんな中、仕事中ひどい腰痛に襲われ、ベッドに寝たきりになってしまいました。
広島市内の大病院や個人病院の整形を二件受診し、胸椎、腰椎のMRI、造影CTなど、度重なる精密検査を何度も受けましたが、悪いところがみつからず、湿布と鎮痛剤を処方されただけで終わられました。
私は自宅のベッドに横たわりながら「このまま寝たきりになるかも知れない」と失望していました。

寝たきりになって10日目、倉田先生がどこからか私が腰を痛めて寝たきりになっていることを聞きつけられ、夜遅く家を訪ねて下さり、1時間くらいカイロプラクティックの治療をして下さいました。
治療後すぐに、動けなかった体がなんとか動けるようになり、翌日から仕事ができるようになりました。
整形を受診しても治らなかった腰痛を、歯科医師の倉田先生が治して下さったことに驚きました。
先生は歯科だけでなく、カイロプラクティックや東洋医学を深く学ばれていらっしゃって、私の腰痛はかみ合わせの悪さも原因しているーと診断して下さり、毎回歯の治療と一緒に腰の治療もしてくださいました。

今まで入れていた詰め物やかぶせなどもかみ合わせがよくないとのことですべてやり直していただきました。
倉田先生の入れて下さる歯はかみ合わせが素晴らしいです。
それまでの入れ歯は、しっかり噛んでもかみ合わせが安定せず、顎がいつもグラグラしていましたが、倉田先生の入れ歯はかみ合わせの場所が一カ所にぴたっと落ち着きます。そして恐ろしいくらい何でも噛めます。
入れ歯の製作中にも、先生がいろんなことを教えて下さり、このよく噛める入れ歯は偶然でできたものでなく、先生のものすごい勉強の裏付けで完成された入れ歯だと確信し、先生の知識の深さ、勉強量に大変感心しました。

フロンティア歯科へは、市内からJRで45分かけて通いましたが、毎回かみ合わせや腰がよくなるのを実感できるので楽しみでした。
毎回歯の治療が終わったら、その日の腰の具合を3段階でチェックして下さり、30分以上かけてカイロプラクティックの治療もして下さいました。
初めは仰向けで両足を揃えて上げることができなかったのですが、先生の治療を受けた後、一瞬にして足が高く上がるようになるので嬉しくて嬉しくて。
微弱電流を流して、ホルモンのバランスを調整して下さったり、時々身体が暑くなり、変な汗をかくと訴えたら、適切な漢方を処方して下さり、症状が無理なく徐々に緩和していきました。
また自宅でできる腰のリハビリ体操を教えて下さり(今も毎日やっています)、腰に関する生活指導もしてくださいました。
そのお陰で、年末には(絶対に不可能だと思われた)重いスーツケースを持って海外旅行に行くことができ、現地で美味しい料理をお腹いっぱいいただくことができました。

腰がよくなったから、かみ合わせがよくなったのか?かみ合わせがよくなったから、腰もよくなったのか?どちらも連動してよくなったのだと思いますが、 倉田先生から、噛み合わせの悪さが身体に歪みを作り出して、腰まで悪くするということを、また腰が安定しないとかみ合わせも安定しないということを、治療を通してしっかりと教えていただきました。
フロンティア歯科は歯だけでなく、全身の悪いところまで時間をかけて丁寧に問診し、確実に治して下さいます。
歯科のお仕事をやるだけでも大変ですのに、ここまでやってくださる歯科医院は滅多にないと思います。
スタッフの皆さんもお忙しくされていますが、どんなに忙しくてもいつも感じよく接して下さり、親切に対応して下さって、フロンティアに行くといつも温かな気持ちになれました。
ありがとうございました。

余談ですが、現在私の24歳の娘(今春、歯科医師になりました)も倉田先生に突発性難聴の治療をしていただいています。
広島市内の大病院の耳鼻科に2週間入院しましたが、完治せず、倉田先生に診ていただいたら、顎のズレが難聴を引き起こしている可能性が高いーと診断され、現在顎を正しい位置に戻すための治療をしていただいています。
先生に治療していただいて、ひどかった耳鳴りがほとんどなくなり喜んでいます。聴力も半分くらい戻りました。

先生の診断レベルの高さ、西洋医学、東洋医学、カイロプラクティックなど様々な医学を融合された治療法、口を全身の一部として考え、全身から健康にして下さるーフロンティア歯科の医療レベルの高さは並外れて素晴らしいと思います。
倉田先生は、何でもご存知で何でもできられるのに、常に自己研鑽され、学び続けられていらっしゃり、その謙虚な姿勢に頭が下がります。
同じ歯科医師として先生のことを心から信頼し尊敬していますし、今は先生が主催されるカイロプラクティックの勉強会にも参加させていただき、私も全身から口腔を診れる歯科医師として一から勉強をし直しています。
我々歯科医師をご指導して下さるレベルの先生です。

治らない病気をお持ちの方、一度倉田先生の元を訪ねられたらいいかも知れません。
倉田先生、たまにはゆっくり休まれて下さい!先生が倒れたら、路頭に迷う患者さんがたくさんいます。お体だけはくれぐれも大切にお願い致します。
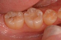
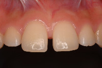
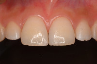
  • 治療回数5回 前歯の正中離開による審美障害の改善と奥歯の樹脂をやりかえた20代女性

    尾道から来院の患者さんです。
    前歯に隙間があり昔から気になっていたとのことでした。
    削るのはもったいないので、コンポジットレジン(CR)という樹脂で歯の形を改善しました。
    また奥歯にもCRが詰まっていたのですが、審美的・機能的に問題があったので何カ所かこれもやりかえました。
    削らなくてよいというメリットがある治療でもあります。

小さな頃から前歯に隙間があり、幼い印象になるのが気になっていたので治療を決めました。
埋める治療は1日で終わり、何より境目が全く分からず、色も形もすごく馴染んだので感激しました。
周囲からも全く分からないと好評でした。
もっと早くすればよかったと思う程、やってよかったと思ったので、同じように悩んでいる方は是非お勧めします。

左:治療前 右:治療後
  • 治療期間2年 補綴物、義歯全てをやりかえた70歳女性

    かみ合わせがかなり低くなっていた患者さんです。

    最初は悪い所だけの治療でした。
    しかし連鎖で違う所が悪くなるので、説明をして全体的な治療を行いました。

    かみ合わせを挙げるので今まで入れた何個かの補綴物もやりかえなければなりませんでした。
    患者さんの都合により休みながらの治療でしたが、無事終えることが出来ました。
    時間がかかり、そして遠回りな治療で申し訳ない気持ちですが、頑張ってもらって妥協のしない治療が出来たと思います。 顏貌も若返って歯もきれいになってよかったと思います。
    それは患者さんが頑張ってくれたからだと思います。
    元の歯の形の補綴物を入れたら自然と機能と審美が戻ってきます。歯の治療も天然歯の歯の形に戻すことが大切です。
    ありがとうございました。

倉田先生に治療して頂いてよかったー の一言に尽きます。

治療して頂いた2年くらいの過程の中ではいろいろ苦労して頂き申し訳ありませんでした。
先ず、抜歯にあたり骨粗しょう症治療薬を服用してる為3ヶ月は出来なかったり、足の手術で3〜4ヶ月治療をおやすみさせて頂いたりして迷惑をおかけしたにもかかわらず、優しく、根気良く治療を続けて頂き感謝しております。

また全部の歯と言っていい位、丁寧な治療をして頂き、何度も何度も調整して頂いたおかげで奥歯でしっかり噛めるようにもなり嬉しい気持ちでいっぱいです。

そして下顎が上がったようにして頂き鏡を見て自分自身明るくなったようにも見え、ついつい微笑んでしまいます。有り難うございました。
これもひとえに倉田先生をはじめ、スタッフの皆様のお陰だと感謝の念がたえません。
残り少ない歯を大切に衛生士さんに教わったようにケアーをしようと思っております。
また、病院にもケアーに行かせて頂き、そして治療の方もどうぞよろしくお願いします。

フロンティア歯科クリニックの倉田先生、皆様ありがとうございました。

                                             72歳女性
  • 治療期間10ヶ月、上は総義歯メタルブレード、下は歯と義歯の製作、そして体の歪みを治した60代女性

    義歯がかなりすれてかみ合わせの高さがかなり低くなり、顎も右にズレていました。
    また上の歯茎は骨が溶けてフラビーガムというグニャグニャに動く状態でした。
    フラビーガムを外科的に除去して、歯の処置と義歯を同時に治療してきました。
    義歯の歯をメタルブレード(義歯のページを参照)にして、硬いものでも噛める入れ歯に仕上げました。

フロンティア歯科クリニックの先生、スタッフの皆様には本当にお世話になり、有り難うございました。
私は以前から歯(入れ歯)を治したいと常に思っておりましたが、一日一日と歯医者に行くのをためらっておりました。
気にしていた歯を孫と主人の一言でショックを受け、結婚式もあり、人から聞いていたフロンティア歯科クリニックに思い切って予約をしにいきました。

私の思いを聞き、顔の相、体の歪みを見て、親切丁寧に説明下さり、時間をかけて作り直して下さいました。
歯によって顔の相、体の状態も変わる事を知り、来院してよかったと思いました。
最初は歯茎を治し、良い状態で型を取り、時間をかけて調整され、歯茎のぐらつき、噛んだ時の強さも調べられ、満足のいく私にあった入れ歯を作って下さいました。

久しぶりに食事がおいしく、歯は大事だと痛感しました。
人からは歯がきれいになったねと云われ、歯を出して笑うのも控えていましたが今は思いきり笑えるようになり歯に自信を持つ事が出来、早く来れば良かったと思っております。
感謝しております。

歯にお困りの方は是非先生に相談されたら、どんな事でも親身になって一番良い方法を考えて下さいます。
  • 歯の部分が金属になっているために極めてすれにくく、噛み合わせも変わりにくいです。
    義歯の寿命も長くなります。
    硬いものもよく噛み砕くことが出来、普通の義歯よりも咀嚼力が飛躍的に上がります。

  • 治療期間1日 かみ合わせと体の不調和を改善した20代女性

    先輩の先生の所に勉強に来ている衛生士の学生です。
    先輩からかみ合わせがおかしいので診てくれという事で先輩の病院に行きました。
    診ると金属とCR(白い詰め物)が高い為にかみ合わせが右にズレ、体もかなり曲がっていました。
    被せものが高かったと言ったらしいのですが、なれると言われたとの事です。
    なれるということはありません。原因があるから高いのです
    高いから、反射が起きて顎がズレてどうにか体を保とうとしているだけで、痛みがないから治ったわけではありません。
    顎と体の歪みを治して、歯の治療されている所だけ調整しました。治療時間は1時間。
    ちゃんと治そうと思ったら、今の治療部位は全て治さないといけないと説明はしました。
    歯で体が悪くなるのか、体が悪くて歯が悪くなるのか、歯は体の一部なので両方です。

    適切な歯科治療をする為には体全体で診る必要があります。

ある歯科医院で虫歯の治療をした日から噛み合わせが高く、違和感を感じていました。
噛み合わせが高いと訴えたものの高さは変わらず、諦めてほっておいたら、何処で噛むのが正しいのか分からず、何処で噛んでもしっくりこなくなっていました。
時間が経つに連れて違和感は無くなっていました。

倉田先生の治療を受けるまで私の噛み合わせがおかしいという事に気づきませんでした。
噛み合わせだけでなく、日頃から正しいと思っていた姿勢も悪くなっていた事に気づかされました。

噛み合わせを治すのにまず姿勢を直す事から始めた治療は初めてでとても新鮮でした。

正直、初めは半信半疑で治療を受けていましたが、たったの1時間の治療で肩こりも腰痛もなくなり、体がすごく軽くなりました。
そして噛み合わせも以前と比べ、とても楽になり食べ物がしっかり噛めるようになりました。
まだ体も噛み合わせも完璧に治っていないので本気で直したいと思いました。

本当にありがとうございました。
  • 治療期間3年10ヶ月 矯正、スプリントによる咬合治療などの全顎治療をした50代女性

    虫歯の治療が主訴で来院されました。
    もともと癖で顎が右に偏位していたと思われるが、歯科治療を繰り返すうちにどんどん右に偏位していったとのことでした。
    全体を診ず、悪い所だけの治療は顎がズレるなど、状態が悪くなっていく可能性があります。 矯正を含めた、噛み合わせの治療を行いました。

歯の質が悪いくせに、甘いものが好きで虫歯の多い子供でした。
しかし無医村だったため、通院治療は難しいことでした。
成長しても、虫歯が我慢出来ない程痛くなってからようやく歯科医院のお世話になっていました。

息子の結婚が決まりそうになって、やっと少し前から痛んでいた虫歯の治療とともに、歯石の除去を思い立ち、重い腰をあげました。
歯医者さんに行くのは何よりも気の重いことでした。
虫歯も多く、下の歯は斜めに歪んでいる口の中を、人前で開くことは勇気のいることでした。
一番のコンプレックスでしたから。

数ヶ月の我慢で終わると思って行ったのですが、度重なるその場しのぎの治療によって噛み合わせが悪くなっていること。
そして、これによる身体への悪影響等、時間を取って丁寧に説明を戴きました。
虫歯治療だけで良いのか、それとも噛み合わせを正しくするのか、その場合の治療期間など。
子供の頃から下の歯が斜めになっているのは気にしていましたが、それなりに噛めるし第一、仕方のないことと思っていました。
しかし、年々下の前歯の倒れ具合がひどくなり、知らずに撮られた写真には歪んだ顔が映っていましたが加齢によるものだと諦めていました。
歯ぎしり、肩こり、全て噛み合わせの悪いことからきており、治せる方法があるとしたらと治療して頂くことに決めました。

長い治療期間でした。 最も辛かったのは矯正具を入れた時でした。歯みがきの都度、取り外して再び入れる時、うまく入れることが出来ず、鏡を見ながら格闘しました。
うまく収まらないときは頭痛がし、夜も眠れませんでした。
しかし、歯が少しずつ動いているのが自分でも分かり、顔も歪まなくなってきたことが励みになりました。

自分の本当の歯を大事にしてこなかったツケで、差し歯、銀歯のオンパレードですが、自分ではしっかり噛める今の歯がとても気に入ってます。
人前で口を開けて笑うことが出来るようにもなりました。
あのまま虫歯の治療だけで、噛み合わせを放っておいたら、思い切り笑うこともできない根暗な老後になったと思います。
倉田先生を始め、スタッフの方々のお陰です。ありがとうございました。
少しでも今の状態を保てるように、残った歯を大事にしたいと思います。
長い間、大変お世話になりました。重ねて感謝申し上げます。
本当にありがとうございました。