ずっと美しくきれいでありたいというのは誰しも持っている願いだと思います。
フロンティア歯科クリニックでは、お口の健康を通じてその手助けをしていきたいと考えております。
審美歯科とは特別な治療ではなく、基本的な治療の上にさらに自然に美しく治すため普通の治療に少し手を加える治療法です。
被せもので見た目と歯並びを変えようとする場合は咬み合わせの機能が失われます。
よって機能をしっかり回復させた上にあるので普通の治療ができたうえでのワンランク上の治療になります。
また、どんなに歯がきれいになっても歯茎が腫れていたら調和しないので、歯茎の治療(歯周病の治療)の大切になってきます。
>>白い詰め物(コンポジットレジン)
>>白い被せもの
>>黒ずんだ歯茎の漂白
>>歯茎の形を整える(歯周形成外科)
>>矯正で歯並びをきれいにする
>>ホワイトニング
などいろいろな方法があります。
フロンティア歯科クリニックでは、患者様と話し合いながら、個々の美を引き出せるよう上記の治療を組み合わせながら
治療計画を提案し、治療をおこなうよう心掛けています。
樹脂(コンポジットレジン)を使って歯の形、色などを変えていきます。
削らなくてよいというメリットがあります。
下図:正中離開をCRにより審美障害を回復
| セラミック | ジルコニア | レジン(保険の材料) | |
| 色調 | ★★★ | ★★☆ | ★★ |
| 透明度 | ★★★ | ★★☆ | ★ |
| 変色しにくさ | ★★★ | ★★★ | ★ |
| すり減りにくさ | ★★★ | ★★★★ | ★ |
| 体へのやさしさ | ★★★ | ★★★ | ★ |
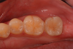
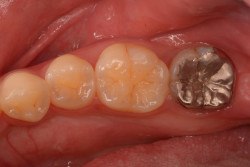
今までの白い被せものは
<セラミック(メタルボンド、オールセラミック)>
歯よりもたわみがないため、被せものが割れる可能性がある
<ハイブリッド>
歯よりも柔らかくハイブリッドがすれてくる。またプラークがつきやすい。色が経年的に変色していく可能性がある。
歯と強度が極めて近いため歯にやさしく、歯と同じように削れて(咬耗)いきます。
当院では経年的に擦れてかみ合わせが当たらなくなるため今はもう扱っておりません。
<e-max>
e-maxは天然歯と強度・たわみが極めて近いため、歯が削れにくく、またe-maxも削れにくく今歯科材料の中で飛びぬけて良い材料です。
よって従来の材料より極めて歯にやさしく、審美性もセラミックのため極めて高いです。
またプラークがつきにくく、生体の親和性は抜群です。
また金属を使わないため金属アレルギーのある患者様、メタルフリーを望む患者様には最適な材料です。
<ジルコニア>
ジルコニアは二酸化ジルコニウムの事でセラミック素材の中でも群を抜いて頑丈で、白く透明感もあるので材料です。
丈夫なので割れにくいですが、逆に歯が割れたり擦れたりするほどの強度をもっています。
当院では主に従来のセラミックの金属部分をジルコニアで制作しその上を撓みのあるe-maxで貼り付けて体にやさしい被せを提供します。
症例によってジルコニア単体で制作することもあります。


・歯と強度が極めて近いため歯にやさしく割れにくい
・陶材なので変色せず極めて自然な色調を再現できる
・金属を使用しないので歯肉が黒変せず本物の歯に近い透明感が再現できる
・金属を使用しないので身体への悪影響がない
・光を適度に透過するので、天然歯に最も近い色調を再現できる
・歯肉にやさしくレジン歯に比べ歯肉の退縮を引き起こしにくい
・プラーク(歯垢)が付着しにくい
・歯を削る量が比較的多い
ジルプレス導入により現在しておりません。
・陶材なので変色せず自然な色調を再現できる
・強度に優れる
・金属を使っていないので身体に優しい
・割れやすい
・厚みが必要なので歯を削る量が多くなる
経年的にすれてきて咬み合わせが変化するため(形態が崩れ、あたりが弱くなる)より機能的に耐久性のあるe-maxに移行しました。
よって現在はおこなっていません。

・陶材なので変色せず自然な色調を再現できる
・歯と強度が極めて近いため歯にやさしく、割れにくい
・光を適度に透過するので、天然歯に最も近い色調を再現できる
・金属を使用しないので、金属の溶け出しによる歯や歯ぐきの変色、金属アレルギーなどが起こる可能性がない
・金属なので強度が強く、強い力のかかる部位にでも使用できる
・金属の中で最も適合が良く、二次的な虫歯になりにくい
・金属の溶け出しによる歯ぐきの変色、金属アレルギーなどが起こる可能性が低くなる

・グラスファイバーの弾性により歯への負担を大幅に軽減
・弾性を持ちながら高い破折強さを発揮
・メタルフリーによる高い審美性を実現


ホームホワイトニング
ウォーキングブリーチ
ホワイトニングには個人差があります。



