フロンティア歯科クリニック

広島県東広島市の「フロンティア歯科クリニック」では、一般歯科・矯正歯科・インプラントなどを取り扱っています。

診療案内

虫歯

HOME >  診療案内  > 虫歯
  • 虫歯予防 子供編

    虫歯を予防するには虫歯がどういう病気なのか理解する必要があります。

    虫歯は、
     ・虫歯の原因菌による感染症(バイオフィルム感染症)
     ・生活習慣病

    子供の虫歯予防を効果的におこなうには、このミュータンス菌と砂糖の関係を理解して、いくつかのポイントを押さえることが大切です。

  • 感染の窓

    口腔内には200~300の細菌が存在します。虫歯菌は生まれた時にはいません。また歯に感染するので歯が生えないと感染しません。

    疫学的な調査から19ヶ月~31ヶ月に虫歯菌が住み着くことが分かっています。

    一回感染して、それぞれが縄張りを作ってしまえば、人生においてそれが大きく変わることはありません。
    細菌を受け入れるキャパシティーは決まっているので、いかに虫歯菌、歯周病菌を感染させないかが鍵となります。

  • 歯は虫歯菌の量や質、生活習慣を調べる。

    虫歯は虫歯菌の量や質、生活習慣を調べることでなりやすい子、なりにくい子が分かります。
    ここで虫歯菌が少ないと少々砂糖を食べても、少々歯磨きをしなくても虫歯になりません。

    しかし、虫歯菌が多ければ少しの砂糖でも、どんなに歯磨きをしても虫歯になる危険があります。

    自分の口の中にはどのくらいの虫歯菌がいるのかを知ることにより、歯磨きや砂糖の量を考えた納得のいく予防ができます。そのためにはリスク検査が必要です。

    これは大人も子供も関係ありません。人生において一度はリスク検査をすることをお勧めします。
    そうすることにより納得のいく予防プログラムを作成することができます。

    虫歯菌が多いとプラークが歯に強力にくっつき(バイオフィルムといいます)歯ブラシではとれなくなります。
    よって、PMTC(歯科医院でおこなう特別なクリーニング)をおこなうことによって除去する必要があります。

  • しっかりとしたリスク検査
    カリエスリスク(だ液)検査

    カリエスリスク(だ液)検査では、だ液の検査及び虫歯の原因となる要素を総合的に検証することにより、
    あなたの虫歯の原因やリスク(危険性)がわかります。
    虫歯菌のリスクを知ることにより、より理論的に虫歯を予防することが可能となります。
    よってカリエスリスク検査をおこなうことをお勧めします。

    この検査結果に基づいて、あなただけの予防プログラムを作製します。


                                                                        3,240円(税込)

  • 虫歯予防 大人編

    大人になれば虫歯にならないかと言えばそうではありません。

    虫歯になりやすい人は、
     ・治療がたくさんある人
     ・歯周病に罹患(りかん)している人
     ・高齢者の方

    です。

    治療をしている人は金属の中や境目から虫歯になります。歯周病の人は根っこが露出します。根っこの表面にはエナメル質がなく、抵抗力が弱いためかなり虫歯になりやすいのです。
    口腔乾燥症などの唾液分泌量が少ない人も虫歯のリスクが高くなります。虫歯を予防するためには大人もリスク検査をおこないリスクを知っておく必要があります。

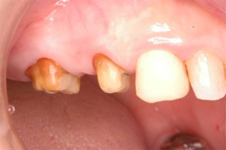
  • 虫歯の治療
    治療

    1.CR(白い詰め物)

    2.インレー(小さい金属)

    3.HR、FCK(かぶせる金属)

虫歯だけを小さく取っていくために
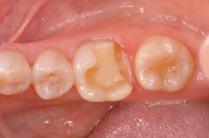
  • カリエスチェック

    虫歯治療

    カリエスチェックという液は虫歯を染めだしてくれます。
    この液を使用することで健康な部分を削ることなく虫歯だけを取り除くことができます。

    虫歯に液を流しこんで、水洗いをしているのは虫歯を染めだしている操作です。

  • コンポジットレジン
    コンポジットレジン

    小さい虫歯、歯質がたくさん残っている時には、CR(コンポジットレジン)で修復できます。

    フロンティア歯科クリニックで極力麻酔をしないのは、できる限り小さく虫歯だけをとっていくためです。
    (始めから痛みがあったり、水でしみたり、
    明らかに神経まで虫歯が達している時には神経が炎症を起こしかけているので麻酔をおこないます)
    虫歯には麻酔をするのが当たり前になっていますが、虫歯の部分は痛みがありません。

    なので虫歯だけとっていけば痛みがありません。(個人差はありますが)
    よく白い詰め物がとれたと言われますが、とれにくい形、操作によりとれやすさもかわります。


    虫歯の境目になると痛みが出てきますので、そこを避けて虫歯をとれば、神経に近い虫歯でも神経をぎりぎりで保存できます。
    最大限に歯を残しているので、後は白い詰め物を詰めるだけです。いろいろつけていると思いますが消毒を2回してボンドをつけて樹脂をつめています。
    色もできるだけ調和するよう複数の材料を使っております。

    よく白い詰め物がとれたと言われますが、とれにくい形、操作によりとれやすさもかわります。

麻酔をご希望の方へ
極限まで神経を残します
脳外科のゴットハンド福島先生を御存じでしょうか?わざと意識を残して脳腫瘍を取っていきます。
痛みの部分を避けることにより健康な脳を傷つけず、脳腫瘍だけを取り除きます。

歯も同様です。
麻酔をしてしまうと痛みを伴わないので、削らなくてよい健康な部分まで削ってしまいます。
大きな虫歯においては神経まで達してしまって、神経の治療をおこなわなければならない可能性が高くなります。
時間は少しかかりますが、拡大鏡を使いピンポイントで虫歯をとって神経を極限まで残す治療をしています。
されたことのある人は、それほど痛みがなかったと思います。
痛みがあるところは逆に教えてもらえば、そこは虫歯と健康歯質との境目なので余計な所を削る必要がありません。

時間がかかっているからたくさん削っているのではありません。大きく削ったほうが治療時間は短くなります。
必要なところを最小限で処置をしているため器具のアクセスも難しくなり多少時間がかかりますが、
最大限歯質を残すことができます。歯以外の臓器は神経を取りませんよね。

なぜ歯はすぐ取るのでしょうか?やはり取るべきでないと思います。
歯の神経1つ残すために理論にのっとった精密な治療を心掛けます。
  • インレー

  • インレー
  • インレー02
歯と歯の間が虫歯になるとCRでは限界があるときが多々あります。そのときはインレーという小さい金属や陶器などを技工サイドで作ってもらい歯に貼付けます。

ぴったりと歯の境目につかなかったり、横の歯とのコンタクトが適切な強さで当たっていないとものが詰まったり、虫歯になったりします。
また、そこから虫歯になります。その時にはCRでなく型を取り模型を起こして作ります。

適合の良いものを作るためには模型を極限まで変形させない必要があります。
詰め物の厚み、型取りの材料の操作と時間、石膏の操作と時間、固める環境により精度がかわります。

よって削る形を一定の厚さにして、取れにくく適切な咬み合わせを与えられる形にしてつるつるの状態にしています。
時間がかかると削っているように思われていますが、最小限に削って、厚みを整えつるつるに磨いています。
そのために凸凹のところ樹脂で埋めてしまいます。(写真:樹脂で凹凸を埋めたところ)
  • 金属冠(HR、FCK)

    歯の神経を取ったり、虫歯が大きくて歯質が少なくなった場合、歯を金属で被せる場合があります。
    被さってしまえば中の土台形は見えませんが、中の土台の形により金属の形が決まり、
    虫歯のなりやすさ、歯茎の腫れやすさ、咬み合わせの感じ、取れ易さ
    が決まります。見えませんが土台はどのジャンルでも大切です。

  • 口の中
  • 模型
  • 金属冠

    フロンティア歯科クリニックでは被せものを作る模型をまず徹底的に診断し、
    模型の切り口を水平面、矢状面、 前頭面の3基準平面にあわせます。
    そのようなことはほとんどの技工所でされていません。
    ではなぜ基準平面に合わせることが必要なのか。

    被せものを作っているときにはまっすぐなのに、
    お口の中にいれたら曲がっていたということは非常によくあります。
    それによって顎が歪んできた、曲がってきたという人も多くいます。

  • 金属冠

    フロンティア歯科クリニック独自の模型の分析をして、基準平面をつくり、
    正中、水平面に対してできるだけ左右対称に作ることにより、
    全身的にもバランスのとれた噛み合わせのよい、
    歪みのない被せものができます。

独自の模型診断により悪くなった原因を探る
なぜ虫歯、歯周病、顎関節症、咬み合わせの不備など、歯医者に来院した主訴の原因の説明を受けていますか?
なぜその疾患がおこったか(発生したメカニズム)ということが分かっていなければ治りません。
虫歯は治しても、また必ず虫歯になります。痛みがあっても、痛みはとれません。

疾患がおこった原因を取り除いて治療をおこなわないと良い状態は長く続きません。
特に咬み合わせの治療に関しては診断が難しく、発生メカニズムが分かって診断し治療をする必要があります。
フロンティア歯科クリニック独自の規格模型を作り、模型診断することによりさまざまな問題が浮かび上がってきて、
診断に必要な色々な情報を得られます。
精密に作られた機械は壊れない
  • 歯の形

    精密に作られた機械は壊れない

    どんな土台の形でも隙間があれば金属はできますが、
    以下の理由で歯の形(山と溝を作る)にそった土台を削る必要があります。

    ・被せものに歯の形を与えないといけない

    ・金属を一定の厚みになるように削って金属の変形をなくす

    ・表面をピカピカにすることにより中のセメントが溶けだしにくく虫歯になりにくい取れにくい金属にする

精密な機械は精密な寸法に表面がきれいに研磨されていないとすぐ壊れるといいます。
歯も同じと考えています。時間をかけているのは削っているのではなく、
被せものに適切な形態を与え、歯の形を取れない形、そして金属が一定の厚みになるようにしてつるつるに仕上げているからです。
土台が歯列から逸脱していたらできてくる金属も当然逸脱しています。よって適切な咬み合わせを与えるにはここの作業が大きくかかわってきます。
時間をかけて削っているのは、レギュラー(一般に使われている粗さ)のバーで形を整え、
ファイン・スーパーファイン・研磨と4種類の粗さのバーを使って磨いているからです。
保険も自費も関係なく同じ質の治療を提供します。
外見がきれいでも中の形がいびつだったらあなたはどう思いますか?
上下で咬み合うので治療の反対側の歯が適切な形をしていない時は上下やりかえさせてもらうこともあります。
あなたの銀歯は歯の形をしていますか?
歯医者により銀歯の形は違います。意味があり歯の形があります。
本来の歯の形に極めて類似した銀歯を入れなければ周りの歯、骨、筋肉と調和しません。
咬んだときに適切な方向に力をかけないと少しずつ影響が出ます。

物が壊れたときに全く違う形で直しますか???
  • 銀歯01

  • 銀歯02

  • 模型02

  • 模型03

山があり、溝があり、歯の形になっています。歯は意味があって山があり溝があります。
咬み合わせは基本的には歯に力がかかったときにもっとも安定する方向(根の方向)に伝わるように当てなければなりません。

適切な、本来の歯の形を与えることにより、適切な咬み合わせを与えることができます。

土台を適切な形に形成することで、金属冠に適切な咬み合わせを与えることができます。
  • このような土台、被せものの形だったら

  • 被せもの01

    この土台だと金属の厚みも不規則で、溝の形を与えることができません。一層コーティングしてもまだざらざらになっています。ざらざらであれば虫歯にもなりやすくなります。

  • 被せもの02

    溝がありますが山と溝というよりも線が入っているだけになっています。これでは学術的に下の歯と当てたいところにあたってきません。ただあたっているだけとなります。

  • 被せもの03

    もはや歯の形はありません。平らな所に線が入っているだけになっています。

適切な形態を与え、適切な位置に咬合を与える
適切な形態を与えれば常に理想とする位置に咬み合わせを当てられます。
技工士との同じ考えのもとで技工物を製作しているので与えたい位置に咬み合わせを与え、さらに調整が少ないのです。
調整は数ミクロン単位でおこなっていきます。
咬み合わせる歯が金属で形が不適切であれば製作する金属もそれに合わせていびつになります。
それでは悪いものに合わせて、悪い形になってしまいますので、その時は上下やりかえる必要があります。
そのような症例の患者様には、ご説明してどのようにしていくか決めていきたいと思います。

歯の形態がいびつになるほど調整量が大きくなるときは再製します。

回数が増えてご迷惑をおかけしますが、きちっとした技工物を入れさせてもらうほうを優先させていただきます。
歯医者により被せものの形はちがう!!
保険の金額は同じでも歯医者によって被せものの形態は違います。
技工士によっても技工料はさまざまです。高い技工物と安い技工物が同じ品質だと思いますか?

被せものは歯医者、技工士の知識と技術の結晶です。

いくら白い歯が入っても咬めなかったら意味がありません。
白い歯の材質の話は聞いたことあると思いますが、銀歯・白い歯の形、咬み合わせについて説明を受けていますか?
白い材料の説明だけではないですか?

人は食べるために治療をするのではないでしょうか?
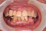
  • 歯茎の下まで虫歯が進んでしまったら???

歯茎の下まで虫歯が進んでしまったら???
そのまま土台を入れてしまうと
・歯茎の上でも虫歯になったのに、また虫歯になるリスクがあがり次は抜かないといけなくなる
・歯茎が腫れる原因になる
・根にかかる力がかなり大きくなり歯や根が割れたり、とれやすくなる


そのためには歯を歯茎の上まで出してから被せものをする必要があります。

【治療法】
1:矯正で持ち上げる(矯正的挺出)
利点:歯茎が下がりにくい
欠点:時間がかかる

2:外科で骨を削って歯茎を下げる
利点:1より時間がかからない
    保険でできる
欠点:歯茎が下がる

3:脱臼させて持ち上げる(外科的挺出)
利点:期間が短い
欠点:根っこが吸収する可能性がある
    処置中に割れる可能性がある

この処置は歯の予後を大きく左右しますが患者様にはもっとも分かりずらい治療でもあります。
よって十分説明しますが、患者様も満足いくまで質問してください。
  • 歯肉炎定石

    歯肉

    歯茎の下まで歯が欠けているので
    矯正で引っ張り上げようとしているところです。