
1:虫歯が神経まで進んでしまった
2:以前神経を取った歯の根っこに炎症が起こってしまった
このような場合は根っこの処置をしなくてはなりません。
1:虫歯が神経まで進んでしまった
神経を取ってしまい根管を清掃してお薬で根管の空洞を埋めてしまいます。
2:以前神経を取った歯の根っこに炎症が起こってしまった
咬んだら違和感がある、響く、のような症状から、腫れてものすごい痛みが出ると症状は様々です。
歯医者の痛みの中でもっとも痛い部類に入るでしょう。
中がバイ菌で感染してしまっているので、感染した部分を専用の道具で機械的に除去します。
そしてバイ菌をできる限り除去します。
根管は複雑な形をしているので1よりも時間がかかります。

根の治療は家の土台と一緒で大切な部分です。
例えれば白アリが住みやすい構造か住みにくい構造かというところでしょうか。
見えなくてわからないところだからこそこの治療が大切になってきます。
どんなに良い被せものが入っても土台がしっかりしていなければ何度も治療が必要になったり歯の寿命が短くなります。
根の治療は時間、根気、歯科医師の技術が必要です。
しかし、日本の保険制度では
採算の合わない、ないがしろにされている治療
でもあります。
フロンティア歯科クリニックでは拡大鏡を使い、感覚ではなく、目で見てしっかりと根のお掃除をしています。

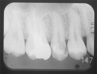
根管の中に入れた最終的なお薬が根の先までしっかり入って、歯の間のコントラストがはっきりしてます。
根管の細菌に感染した歯質をしっかりとって、最終的なお薬で隙間なく埋める事で細菌が感染増殖するのを防ぎます
根管と歯のコントラストがはっきり見えません。
それは違う角度から見ると最終的なお薬が緊密に入っていないか、感染歯質を取りきれていないからです。

根のお掃除が不十分で、さらに最終的なお薬とのコントラストがはっきりしておらず、隙間だらけです

しっかりと感染歯質をとり、緊密に最終的なお薬をつめているので歯とお薬のコントラストもはっきりしています。
根の治療をした後は穴を埋めなければなりません。その材料として
1:金属
2:樹脂
の二つあります。その時の根の状態により、より良い方法で製作します。