フロンティア歯科クリニック

広島県東広島市の「フロンティア歯科クリニック」では、一般歯科・矯正歯科・インプラントなどを取り扱っています。

診療案内

義歯

HOME >  診療案内  > 義歯

フロンティア歯科クリニックの義歯製作

フロンティア歯科クリニックでは、より精密に義歯を作るため、来院回数は通常より多くなりますが、
完成後の調整をより最小限に抑える義歯製作に努めています。
  • 残っている歯と製作する義歯が調和していない時
    義歯

    残っている歯(補綴物も含む)が適切な形態・位置にないとでき上がる義歯は審美・機能の調和が取れません。
    そのようなときは義歯だけでなく、補綴物もやり変える必要があります。
    普通は補綴物を作って、それに合わせて義歯を作っていきます。
    しかし歯の本数が少なくなればなるほど、補綴物製作時に歯の形、位置を決定するのが難しくなります。

    その時は旧義歯に形を合わせて補綴物を作っていきます。

    しかし旧義歯の形態が適正でなければ、できてくる補綴物も適正な形になりません。

同時に製作して一口腔内が調和するよう製作
普通は補綴物を口腔内に入れて、それを型取りをして模型を立ち上げて義歯を作ります。

フロンティア歯科クリニックでは、
補綴物を作ってそれに合わせて義歯を作るのではなく、できた補綴物と義歯を一つの模型で製作(上図)して、
補綴物に微修正・トリミングなどの修正を加え、着脱方向を容易にし、ガタつきがなく、
審美、機能が一口腔内で調和
するようにしていきます。

義歯製作の流れ

義歯製作の流れ
  • 型どり

    おおまかな印象

    歯医者一般で使われているアルジネートという型どりの材料で型を取ります。この材料はお口の中から取った瞬間から水分の蒸発により変形が始まります。

  • シリコン

    精密印象

    大まかな型どりによって作成した模型より個々のトレーを作ります。そのトレーに圧流度のある材料をつけいろいろな動きをしてもらうことにより、より精密な型を再現できます。そして大まかな型どりに使用した材料よりも極めて変形の少ないシリコンという材料で型を取ります。

  • バイト・フェイスボー

    バイト・フェイスボー

    かみ合わせの高さを決定します。
    またフェイスボーという装置を用いて、咬合器(入れ歯を作る装置)上に上顎の骨と顎関節の位置関係を実際と同じ位置に再現します。簡単にいえば咬合器という装置上で個々の顎の運動がかなり正確に再現できるということになります。普通は大体の位置で咬合器につけます。義歯が大きくなればなるほど必須になってきます。

  • ゴシックアーチ、チェックバイト

    ゴシックアーチ、チェックバイト

    この装置を使って水平的な位置(横のずれをなくす)を決定します。義歯の歯がつるつるになっている人ほど、また大きい義歯の人ほど下顎がふらふらして一か所で咬んでいません。天然歯の時みたいに一か所でずれずに咬むためにはこの処置は必須といえます。義歯が大きくなるほど前咬みになっています。本来の咬む位置とずれた義歯で作られたら咬めません。
    また、人によっては横の動きを記録し、咬合器上でより精度の高い顎の運動を再現し完成時の調整を最小限にします。完全オーダーメイドになります。フェイスボーとペアでなければ顎の運動を再現することはできません。小さい義歯の人にはおこないません。

  • 試適

    試適

    歯を実際に並べてきて、見た目、かみ合わせのチェックをおこないます。

  • 完成

    完成

    極めて調整の少ない義歯に仕上げてきます。そして数ミクロン単位での調整をおこないます。

  • 義歯の人工歯

  • 義歯の人工歯01
  • 義歯の人工歯02
フロンティア歯科クリニックでは歯の形態にもこだわっています。
総義歯、もしくは残っている歯が少ない場合には4歯が連結した歯を使います。(保険適応)

【特徴】
・歯がとがっているため肉やたくあんなど硬い食べ物も食べることができる。
・奥歯4つがつながっているため咬み合わせのバランス(力のバランス)が極めて良好である。
・義歯がはずれにくい。
  • 自費の義歯

  • 金属床義歯
    金属床義歯

    一部を金属にすることによりたわみにくく、薄くすることができます。
    そのため割れにくくなります。

    また金属は熱伝導性に優れているので、食事をした時の温度感覚が自然に近くなります。
    材質はチタンと超硬質コバルトクロムの2種類です。

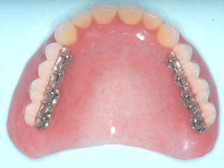
  • メタルブレードティース
    メタルブレードティース

    奥歯が金属になっていることにより極めて粉砕能力が高く、硬い物でも咬むことができます。

    また奥歯4歯が連結になっていることによって力のバランスがより安定し、取れにくく歯茎も骨も吸収しにくくなります。

  • ミリングデンチャー(クラスプ(金具)の見えない義歯)

  • リングデンチャー
  • リングデンチャー02
金具の見えない義歯です。
歯の裏側と義歯に鍵と鍵穴のような構造を付与することにより、きっちりを装着されるため表に金具が見えません。
しかし、義歯だけでなく被せものの金属もやり変えないといけません。

【特徴】
・歯と義歯を同時に作っていくために歯も義歯も金具がなくても動きにくく安定し、審美的です
・残っている歯にも力がかかりにくく、やさしく金具のかかる義歯よりも歯の寿命、予後が良い
・金具の凸凹もないためまた装着感、違和感も少ない

義歯の中で最高級の義歯といえます。
  • ノンクラスプデンチャー

    ノンクラスプデンチャー

    *今脚光をあびているノンクラスプデンチャー、セレーブデンチャー、フレキサイト、
    スマートデンチャーや、シリコン義歯などのやわらかい材料の義歯は一切作りません。
    痛みがないのと状態が良いというのは違います。
    口腔内の予後(残存歯、骨の状態)が良いと考えられる義歯しか扱いません。
    過度に力がかかった所の骨は少しずつ溶けていく可能性があります。

部分床義歯の安定には支持、把持、維持の3要素が不可欠であり、これらは支台装置および義歯床によって確保される。
残存組織の保全に不可欠なこれら3要素の中で最も重要なものは支持である。
通常これは、支台歯に形成されたレストシートに適合する義歯側の金属製のレストと顎堤粘膜へ適合した義歯床 により構成されている。

「鉤を有しない部分床義歯(いわゆるノンクラスプデンチャー)」には、この「支持」に関し、あるものは外見上の理由から
金属製のレストを含む支台装置を割愛し、支持のほとんどを義歯床に依存している。
ここが大きな問題である。なお、この種の設計は歴史的に見てもほとんど稀な考え方であるが、
教科書的に記載されているものには、残存歯により上下顎間の咬合支持が保持されている前歯欠損の症例に対する
硬質のレジン床を用いた「いわゆるスプーンデンチャー」がある。
 
現下問題とされているのは、このような硬質のレジン床を用いず、軟質の義歯床材料で、しかも咬合支持の存在に配慮せずに、
外観の回復という点のみから欠損歯列患者に対し喧伝されているいくつかの種類のものである。


これらの「いわゆるノンクラスプデンチャー」については現在(社)日本補綴歯科学会の中にワーキンググループを立ち上げ、
日本歯科理工学会と協同して適応に関するコンセンサスを求めているところである。

いわゆるノンクラスプデンチャーについては
外観の回復についての有効性という光の部分と、適応をあやまった場合に生ずる顎堤の異常吸収、支台歯の移動という
重大な障害を惹起するという影の部分
があり、その適応については今後のさらなる科学的な検証が必要である。