当院はこのホームページ以外は看板やインターネットの広告などを一切しておりません。
そのため患者さんはほとんどが紹介です。そのため来院時には当院の理念を紹介者から聞いて来院している人がほとんどです。
ホームページは来院している患者さんがどのような治療をうけているのかを理解してもらうために作成しました。
ホームページ作成後、そして今日のインターネットの普及によりホームページを見て来院する患者さんも増えてきました。
当院は他の歯科医院とは理念・進め方が多少異なりますのでこの項目を読んでもらい理解して来院してもらえたら幸いです。
当院は基本的に歯1本だけを見た処置ではなく、かみ合わせ、顎関節、身体全体を診た全体的な治療を行うことを第一に考えています。
歯が痛くてもその歯だけが原因ということはまれです。正常な人では一般的に28本の歯が協調して機能しています。
さらに歯だけでなく顎、筋肉そして全身も関わっています。
きちんとした検査を行って適切な診断をしなければ、誤った処置をしてしまいます。
そのために初診時に急性的な症状がある場合は応急処置(痛みを取る処置、その他検査する前でも問題がない処置)をさせていただきますが、緊急ではないと判断した場合は基本的に1回目は問診と検査、2回目は残りの検査とクリーニングをさせていただきます。
クリーニングに関してはできるだけバイオフィルム(予防歯科の)重要性を参照)を除去し細菌ができるだけ少ない環境にしてからさまざまな歯の処置をするほうがよいからです。
その後全体的な診断、治療の説明を行います。
そこで患者さんと話し合い患者さんが望む治療のゴールが決定(私が話した悪いところを全部するのではなくその中でどこまでの治療を望むのか)したら治療がスタートになります。
虫歯があるからレントゲンだけ撮って処置をしてもまた虫歯になります。それは対症療法だからです。
原因を除去する原因除去療法をしないとまた再発をします。
そのため当院は基本的にその日のうちには処置に入りません。
患者さんもさまざまなので、検査をせず悪いところしか望まない人はそこだけしてくださいと言ってもらえれば対応します。
しかしそれは最善の治療はできないことをご容赦ください。
特に咬合治療に関しては非常に難しい治療で、検査なしでは絶対に治療できません。
しかし検査をせずに悪いところを治してもらおうという人もいたり、治療をせず検査をするのは時間の無駄と思う人もいます。検査をしてしっかりとした診断ができるから良い治療ができるのです。
歯医者によって何が違うかというと診断能力です。診断が違えば処置も異なります。結果も異なります。
検査を望まない患者さんにおいては、しっかりとした診断がつかないため満足する治療を提供出来ない場合があります。
また当院の治療時間は基本的には1時間になります。時間も長くいたくないという人はきついかもしれません。
当院では治療が30分では思うような治療ができないと考えます。
また基本的には時間で終わるのではなく処置で終わりますので、当然短くなることもありますし長くなることもあります。
できるだけ良い治療(より美しく、なんでも噛めて、快適に、丈夫で、長持ち)を早く、安くしてくださいといわれてもそれは無理があります。
私、そしてスタッフ一同ポリシーをもって治療しておりますのでそれに反することはできません。
患者さんにとっていい歯医者になるかは患者さんの考えと歯科医院のポリシーが一致するかだと思いますので、このページを読んで当院のポリシーを理解してご来院していただけたら幸いです。
また治療の相談メールをおくってくださる患者さんもいますが、難しい治療になればなるほど診なければアドバイスはしにくくなります。(できるかぎりの)回答はさせてもらっていますが)
しかしメールでの過度の回答を望む患者さん、費用などの質問は診なければ答えられない事が多いです。
基本的にどこの医療機関もメールで診査診断、治療計画は行いません。しかしそれをメールで求めてくる患者さんもおられます。まれに当院の方針を理解してもらえず、一方的に自分の考えを要求してくる患者さんもいます。
そのような患者さんには良い歯医者となることはできない可能性があります。
しかし噛み合わせが主訴の人はそれだけ困っている人も多いのも事実です。
患者さんと同じ立場に立って、こちらの考えを押し付けるのではなく、また患者さんの言うことがあまり良い結果にならないときにはすぐ受け入れるのではなくしっかり説明し導いていきます。互いの考えを理解し、尊重し、共有し、妥協せず最善の治療をしようと日々心がけています。
そのためには患者さんにも当院の方針を理解し、納得していただき話し合って治療を進めることをご了承ください。
検査は下記の通りになります。(その状況に応じて必要な検査をピックアップして行います)

体の歪みにより噛み合わせも変わります。
姿勢の歪みが重度の人は体から治さないと噛み合わせが安定しなかったりします。
また噛み合わせが悪い事により体も悪くなります。
歯も体の一部でつながっているので、歯は体と関係ないわけありません。
体全体で診断していく必要があります。

虫歯菌検査です。虫歯菌の量を調べることにより、その後の虫歯のなりやすさが分かり、虫歯の予防対策をすることができます。大変大切な検査です。

歯科用CTを撮影することにより、歯だけでなく顎関節・頸椎から頭蓋骨までの歪みまでレントゲンで得られなかった多くの情報が得られます。

全部の歯のレントゲンを撮影します。歯周病はそれぞれの歯により症状、病態が違うためです。大きなレントゲンでは細部まで見えにくいためフロンティア歯科クリニックでは小さいレントゲンで撮影させてもらいます。

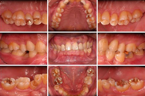
現在のお口の中の状態を、写真に撮り記録します。日常では、ご自身のお口の中の裏側や側面を見ることが困難ですので、検査結果ご報告の際には、PCを通じて説明いたします。聞いたり、鏡で見てもよくわからないのが写真を見てもらったらよくわかると思います。

患者様の上下の歯型模型を採らせていただきます。これは歯周病だけでなく歯の治療にも必要なものです。模型を作ることで、より詳細な状態がわかり診断に大変役立ちます。

オクルーザーという器械を使って力の検査をします。歯周病だけでなく歯に非機能的な力が加わったら増悪します。歯の治療、そして歯周病の治療に大切なのは力をコントロールすることです。そのために力の診断をします。

歯周検査とは歯周病の症状を判定するものです。歯と歯茎の溝の深さ、出血、動揺など歯茎の症状の有無を調べます。
