フロンティア歯科クリニック

広島県東広島市の「フロンティア歯科クリニック」では、一般歯科・矯正歯科・インプラントなどを取り扱っています。

インフォメーション

患者様の声②

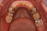
  • 治療期間2年4ヶ月、全顎的な治療をした60代女性

    北九州から通ってきた患者さんです。

    下の奥歯がない事により顎が後にズレ、そのまま銀歯と義歯を製作されたため、うまく噛めず、義歯も入れる事が出来ずにいた患者さんです。
    銀歯も歯の形をしておらず、噛み合わせもちゃんと当たっておらず、それも噛めない原因でした。

    顎の位置を本来の位置に戻し、根の治療、歯周病、銀歯、義歯を全て再治療しました。

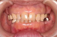
    写真 上:治療前 下:治療後

    治療後は顎が前に出て下の歯がより見えるようになっています。
    また被せものを本来の歯の形に治しています。

私の歯の治療は平成24年6月に始まりおよそ2年4ヶ月程かかりました。
と言うのも北九州から西条まで新幹線で通いでしたので、自分の都合で日にちと時間を合わせて頂き先生はもちろんの事スタッフの皆様にも随分とご迷惑をおかけしてしまいました。

北九州の歯科医院で義歯も2度程作り直しましたが、それも合わず口の中は大変な状態でした。
最初は通院する事に迷いもありましたが思い切ってお世話になる事にしました。

この歯科に通い始めて思ったのは悪い箇所をただ単に治療していくのではなくそれ以前の準備段階と治療後のメンテナンスの細やかさに驚きです。
正直な気持ちこんな事までするのォー!と思うような検査を沢山して頂き患者さんへと歯の治療にかける強い熱意を感じました。
その結果今は義歯もピッタリ大好物のお煎餅もバリバリと自分の歯で噛める事が幸福です。

いかに「歯」が命であり大切なものかを改めて勉強させて頂き感謝しております。

お世話になりました一人の患者として、これからの「フロンティア歯科クリニック」の益々のご繁栄を先生・スタッフ皆様のご健康を心より願っております。

本当に本当に長い間ありがとうございました。
  • 治療一回、一本の歯の不調和を治した20代女性

    健診で来院されました。
    検査すると顎の不調和があり、話をきくと2年前に治療をしてから噛み合わせに違和感があるとの事でした。
    右の6歳臼歯しか治療をしておらず、その歯がCRという樹脂で治療がされていました。
    噛み合わせは当たっておらず、当たってほしくない所に当たっていて、顎がずらされて、肩こりや、姿勢のバランスまで悪くなっていました。
    しかし本人は歯からきているとは思っておらず、そのまま様子を見ていたとの事です。(仕事は整体師さんです)

    一本の歯の治療でもこのように体に不調和が生じます。

今回治療をして頂いて、以前までの治療では患部をツルツルに削られており治療後から違和感を感じ、顎にはだるさを感じる日々が続いておりました。
今回治療して頂いたお陰で歯の噛み合わせはもちろん、下あごの動きも改善し自然と肩の痛みも軽減したように思います。

歯の1本でさえも簡単に考えては後悔につながると言う事を今回の治療で再確認する事ができたと思います。
  • 代替画像

    頬の方に詰め物が張り出して顎がずらされています。
    さらに噛んでいなくて、すいています。

  • 代替画像

    張り出していた詰め物を歯の形に修正して、噛み合わせをちゃんと当ててずれないようにしました。

  • 治療期間 2年、全顎的な治療をした60代女性

    足が悪く、体から噛み合わせ、顎関節に影響がでている患者さんです。
    このような患者さんは歯だけ診ていても、治りません。
    顎関節、筋肉、全身の姿勢やバランスなどを診ていく必要があります。

元々、倉田先生に、歯の治療をして戴くようになったのは、長年歯の治療をお願いしていた先生のご推薦がきっかけでした。

倉田先生は”歯は単なる身体の一部品ではない”とのお考えか?

体のバランスも度々確認され(私の足が悪い為か)立ったり座ったり、噛み合わせ等、時には面倒に思ったりしましたが、顎の痛みも出る事なく、一応治療も終了しました。
スタッフの皆様もとても優しい人達ばかりで、感謝しております。
  • 治療期間 3年半、義歯を含めた全顎的な治療をした60代男性

    初めてあったのは健やか健診でした。
    健やか健診にこられる方は歯の意識が高く、いろいろと質問してきます。
    この方は口臭が気になるとの事で、自分が予防、口臭、口腔乾燥症を専門とする医局にいたため、匂いをかいで診査したのを良く覚えていました。
    それから一年後、当院に来院された時にはすぐに健やか健診の方だと分かりました。
    その後ずっと当院を探していて、見つからず諦めていたが一年後にたまたま知人に当院を受診していた方がおられすぐに来院されたとの事でした。
    そこまで思ってもらってて大変うれしく感謝致しました。
    絶対治してやろうという気持ちにさせられました。

感謝の気持

初めて健やか健診でお会いし、説明をうけ、倉田先生は大変親切な方だと思い、先生の病院探しが初まりました。
巡り会うまで、かなりの日数が掛かりましたがなんとか情報を得ることが出来ました。

どこの歯科医に行っても同じで、歯科の先生が状態を見て、「今まで通っていた歯科医に行って下さい」との事で、完全に諦め、断念していましたが、恥を覚悟で、さっそく情報を元にフロンティア歯科クリニックに行き、受付の方に初めてですがと、訪ねている時に、倉田先生が声をかけて下さいました。

大変親切に受け入れていただき、歯の状態を見られ1〜2年位は掛かるけど、一緒に頑張りましょうと言われた時は、正直涙がでるほどうれしかった事を思い出します。
今考えると約2年間の治療も終わりに成り、本当に先生又スタッフの方々が私の悪い状態の歯の治療を一生懸命行われたお陰だと思いうれしく感謝しています。

治療のお陰で、家族からも言われ続けていた口臭も無くなり、安心して多くの方々とも気持ちよく話が出来るようになったのが、とてもうれしく思っています。
私自身よく毎週頑張って通ったと思っております。

これからも歯の点検、清掃をつづけ、末永くお世話になると思いますが、よろしくお願い致します。
  • 治療期間 2年半、全顎的な治療をした60代男性

    噛み合わせがかなり下がっており下の奥歯に入っていた両側の義歯は入っているだけで噛んでいませんでした。
    最初は義歯が痛いときと悪い所だけ処置をしていました。
    徐々にいろんな所が痛くなるので、患者さんに説明し、噛み合わせの高さを昔の状態に戻す全顎の治療を勧めました。
    今まで前歯で噛むのがいつの間にか当たり前になっていて、奥歯で噛める様になったと言われていました。
    かみ合せが上がったことで顏貌も変わりました。

お礼

フロンティア歯科クリニック様

長い間、歯に痛み・義歯の不都合・噛み合わせ等を放置していたため、痛みが進行し満足に食事が出来ず、悩んでいました。
倉田先生や医師、スタッフの皆さんに診察と最適な治療を受け、昔のように快適に食事が出来るようになりました。
年齢のせいか食生活が、いかに重要かつくづく感じています。
同じような悩みで困っている多くの人に、フロンティア歯科クリニックを紹介して一人でも多くの人が、快適な食生活が出来る様希望します。

長期間、総合的に治療をしていただき誠にありがとうございました。
  • 治療期間 2年半、全顎的な治療をした80代男性

    前医の先生から受け継いだ患者さんです。
    かみ合わせの高さが低くなり、噛む力が強くなり、歯が歯周病で動揺し、義歯が入れてられないと大変な状況でした。
    一時来院が途絶え、再度来院した時にはかみ合わせが恐ろしく低くなり、前歯は本来の位置からかなり逸脱し、唇から飛び出る程出っ歯の仮歯になり正常な顔とは思えない位の顏貌になって治療終了していました。
    全顎的に治療を行い、適切なかみ合わせの高さに戻し、顏貌も回復しました。

私の歯科医院遍歴

若い頃は会社を営業していたために近い行き易い歯科医院に行き治療を受けていたが、その間、抜歯、そして小さな義歯を嵌めることになったが、どうしても馴染むことが出来ず、外したままの日時が多くなり、次の歯も悪くなり、妻の誘いで、はた歯科医院ではた先生のお世話になることとなる。

しかし長い間気儘にしていた歯を見られた先生は、溜め息まじりで治療をして下さった。
寡黙ながらも優しく丁寧なはた先生に満足する反面、食事の度に何か違うと、思わず紙ヤスリ等で擂るも思う様にならず、妻に叱られる。

やがてはた先生が一線を退かれ、交替される先生である倉田先生を紹介して下さり、お世話になることになる。
フロンティア歯科クリニックを名称され、明るい雰囲気で治療して頂けると安心して居りましたが、休日に突然痛みが出て、我慢出来ず、知人が休日でも診て下さる所があると紹介され、そのつもりで行った所、続けて来るなら直して上げると言われ、やむ無くお願いし、不本意でも通院することとなり、妻が仰天したり、たまにくる弟まで、首を傾げることもあったりして、一年以上経ったでしょうか、漸く終わりですと告げられてた時は、私は勿論、妻も胸を撫ぜ下した次第ですが、このままの歯ではとても我慢出来ないと、又妻の奨めで、厚かましく何も言わずでフロンティア歯科クリニックにもどる。

先生は私の歯を見て驚かれた筈ですが、何も言われず、相変わらず快活で丁寧に治療して下さるが、私が義歯を自分の思う様にする為、それに困惑されながらも説明されたり、色々手を尽くしていただき、お陰で上歯は満足して居りますが、下歯は食事の時以外は、何か話辛く感じて、外してしまい、妻になれる様とする心がなく、気儘だと責められながら今日に至ります。
  • 治療期間 1年 10ヶ月、全顎的な治療をした60代女性

    銀歯はやり変えず義歯だけ作りかえていた患者さんです。
    この度、銀歯と義歯が右下がりになっており全体的な治療をして歯の平面を是正しました。
    歯の治療によっていつの間にか顏貌や姿勢もゆがめられていくことがあります。
    そのような人は顏貌も姿勢も適切な治療をすることにより、驚く程回復します。

私はフロンティア歯科クリニックにお世話になっています。

今回前部の歯を点検して頂き、義歯も上下新規に作り替えて頂き、ご飯がおいしく食べられる様になり、大変喜んでいます
これも偏に倉田院長先生が、患者さんの気持ちに成り、色々と考え、不可能を可能になる様、通院するたびに、歯のかみ合わせなどをよく聞いて下さり治療に専念する姿が伝わってきます。
そのお陰で硬いものが食べられ家族と食事をすることが毎日楽しく体調も良く健康に過ごしています。

八本松町 主婦
  • 治療期間 1年 7ヶ月、全顎的な治療をした60代女性

    福山の技工士さんのお母さんです。
    福山の歯医者に何件か通っていましたが、どこで治療してもどうしても咬めないとのことで、当院まで来院。
    銀歯の形が悪く(本来の歯の形をしていない)、入っている全ての金属をやりかえました。
    初診時に、今の病態、なぜそうなったか、どうしたら咬めるようになるかを説明し、必ず咬めるようにしますと言って頑張って福山から通ってもらいました。
    歯医者によって銀歯は違います。それは技工士が違うからです。
    銀歯の形、精度、噛み合わせは歯科医師、技工士の知識と腕で決まります。
    また医科は検査で始まり、検査で終わります。
    しかし歯科は最初に検査をして、最後に検査はありません。
    つまりきちんと咬んでいなくてもわからないし、良い状態じゃなくても終わりということです。
    どういう噛み合わせを与えるのかをしっかり説明し、銀歯が全部入ったら、最後にちゃんと咬んでいるかの検査をすることが必要と考えます。

息子のすすめでフロンティア歯科医に通いはじめました。

奥歯を治療するようになり右の奥歯が一本なかったので色々治療していただきました。
硬いものも噛めて丈夫な歯ができて大変喜んでおります。
また衛生士さん、先生方々の親切で笑顔があり治療が始まって終まで一言一言説明しながら(ていねい)でした。

治療の仕方が、まったくちがうのに驚きました。

倉田先生、お世話になりありがとうございました。
  • 治療期間1年3ヶ月、歯周外科を含めた全体の歯の治療をおこなった30代女性

    東広島の歯医者で治療を行っていたが、根の治療ができないといわれた歯が帰省 中に痛み、受診した福岡の歯科医院から紹介で来院。
    治療途中の歯も含めて根の治療がされておらず、治療が必要で、その必要性を説明し、全て根の治療からやりなおした患者さんです。
    根の先に炎症があるのに根の治療をせずに歯(被せもの)をかぶせても近い将来必ず再治療になります。
    出来る限り歯の寿命を延ばすには、患者さんにはよくわからない根の治療が大切になってきます。
    根管治療は歯科医師の良心という言葉があります。根の治療を見れば歯医者の技術と熱意が分かります。

この度は本当に長い間、お世話になりました。

今まで様々な歯科で色々な治療をしてきて、長年歯で悩んで苦しんできました。
福岡の先生より、倉田先生を紹介していただき、初めての診察で歯の根っ子の治療が、いかに大切かを丁寧に教えていただきました。
これからの診療計画も私が納得できるよう、きちんと説明していただけたので安心して先生に全てをおまかせすることができました。

治療は今まで私が経験した歯科の中でも、本当に一番私の歯について真剣に取り組んで頂けたと実感しています。
とにかく細かい部分まで丁寧に治療していただきました。

先生は若いのにとても知識が豊富で、普段は優しいのに治療中はとてもまじめで、きびしく、他の先生方もとてもいい見本だなーっと思っていました。
それだけ患者さん一人一人にきちんと向き合っている姿はとても尊敬します。

スタッフの皆さんとても優しく子供連れでの治療でしたが安心して私も治療に専念出来ました。
最後まで全ての歯を仕上げる事ができずに転勤になった事が残念です。

本当にありがとうございました。
  • 治療期間5年、義歯,矯正、歯周外科を含めた全体の歯の治療をおこなった60代女性

    下の奥歯の被せものが外れたとのことで来院。
    噛み合わせが低くなり、治療する度に出っ歯になっていき、前歯がぐらぐらになり、歯周病も進行していました。
    歯周外科、矯正と全顎的に治療を行った患者さんです。

先生、スタッフの皆さん

長い間お世話になりました。
私は子供頃から歯者さんによく行っていました。
いずれは、入歯になると覚悟していました。
おかげで部分入歯になり悪い歯はきれいにしてもらって噛み合わせも良くなり、かたい物もよく噛んでたべれるようになりました。
本当にありがとうございまいた。
これからもよろしくお願い致します。
4年間通院して思ったことは、予約時間に行ってもそれから1時間くらい待たされたことが又にありました。
せめて30分くらいにしてほしいです。
  • 治療期間5年、義歯を含めた全体の歯の治療をおこなった60代女性

    全体的に噛み合わせが低くなり、顎関節に力がかかり、肩こり、耳の症状まででてきた患者さんです。

    噛み合わせが原因で、体に色々な症状が出てくることもあります。
    そのような人は医科にいっても治りにくいです。
    歯の噛み合わせetcを治さないと症状はよくなりません。
    噛み合わせの治療とはその位シビアな治療です。簡単に治療を終えれる程甘くありません。簡単にできるならそのようになっていないはずです。
    数μ単位の調整が必要です。

フロンティア歯科クリニックの皆様へ

長い間、歯の治療をしていただいてありがとうございます。

御陰様で、頭痛・耳鳴りがしなくなり食物がおいしく沢山食べれるようになりました。
歯の噛み合わせと歯みがきの大切さを感じました。

精神的にも病んでいたのですが、心が落ち着く場所でもあったと思います。

これからも定期的な診療をよろしくお願いいたします。
  • 治療期間3年3ヶ月、義歯を含めた全体の歯の治療をおこなった70代女性

    全体的に噛み合わせが低くなっていたのですが、最初は義歯だけをやり変えて様子をみていました。
    しかし噛み合わせが低くなることにより、噛む力が強くなり、義歯の痛みが取れず、患者さんを説得し、全ての被せものと、義歯を全部やり変える治療をおこなうようになりました。

    噛み合わせが本来の高さに戻ることにより、顔貌が若くなり、噛む力も小さくなり、義歯にかかる力が適切になり痛みを訴える事がなくなりました。
    噛めるという機能を重視して治療を行うと、自然と顔貌、見た目もきれいになります。

    しかし審美を重視して治療を行うと、必ず機能に障害がでてきます。
    この患者さんも審美的にもよい状態になったと喜んでおりました。

森羅万象・皆我師を人生の歩み方と思って生きるよう努力しています。
色々とお世話になり、皆さまからの教訓を感謝しています。
これからも良ろしくお願いします。