これからの歯科医療は歯を体の一部と考え、体全体を診て歯の治療を行うことが大切だと考えています。
歯と体と改善させ、患者さんの健康を維持していく予防医療が患者さんの幸福へとつながっていくと思います。
それを当院の患者さんだけでなく、地域の人々、しいては多くの地域で進んでいけばと願います。
予防医療がすすめば社会保障費や医療費が減り経済効率は高くなります。
そのために今までの歯科医療の概念を変え、医学的側面と科学的側面で病気のこと、咬合、歯、身体、精神、食事、心、運動そしてコミュニケーションなど統合医療の中に歯科医療があるという考えのもとに、社会のフロンティアとなるべく日々精進し、勉学に励み、改革を続けます。
「フロンティア歯科クリニック行動指針(3ミッション)」
		
【ミッションⅠ】私たちは歯だけでなく体も健康になる様にそして生活の質(QOL)を高める為に、予防医療における社会のフロンティアになります。
			
【ミッションⅡ】私たちは、ホスピタリティーの提供に最善を尽くします。※「やさしさ・笑顔・喜び・感動・成長・結果」=ホスピタリティ
		
【ミッションⅢ】スタッフだけでなく、周りを取り囲む人々とチーム医療を目指し、皆が肉体的、社会的、精神的に豊かになるようにする
私たちフロンティア歯科クリニックは歯科医療といった枠を超え、医学、東洋医学、代替医療(カイロプラクティック、オステオパシーetc)等を取り入れた統合治療を実践しています。
 医科と同様に最初にしっかりとした検査を行い、病態診断、発生メカニズムの診断、予後の診断を立て、患者さん一人一人にあった治療計画を提案します。
悪い所は全部治し、予防医療にシフトするように提案する。
しかし 私たちの考えを押しつけることなく患者さんと話をしてエンドポイントを決める。高度な妥協をしない治療を目指し、他院で治せなかった難症例の患者さんを含め、咀嚼、嚥下、発音、審美の回復・快復、全身の回復、QOLと挙げて不自由なく幸せな生活が送れるように、やりがいをもってつづけていきたいとスタッフ一同願っています。
現在医科と歯科は別々になっています。
しかし実際には体は一つです。
身体が原因で、歯ぎしり・食いしばり、顎関節症、過度に力がかかって歯周病、虫歯、歯の破折、咬耗、銀歯のダツリ等が起こったりします。
また歯が関連して肩こり、難聴、めまい、喘息、胃腸障害、腰や手足の痛み、高血圧、不安など様々な疾患が増悪することもあります。
従って、身体全体をみて歯科治療をする必要があります。
歯だけ治療しても問題がない人、歯が増悪因子なのにその関連性が分かっていない人、身体を治さないと歯の問題が治らない人、様々です。
医療の進歩とともに歯科医療も体全体を考えて治療をする必要がある時代を迎えています。
私たちフロンティア歯科クリニックは歯科医療といった枠を超え、医学、東洋医学、代替医療(カイロプラクティック、オステオパシー、頭蓋電気刺激療法etc)等を取り入れた統合治療を実践しています。 
医科と同様に最初にしっかりとした検査を行い、病態診断、発生メカニズムの診断、予後の診断を立て、患者さん一人一人にあった治療計画を提案します。
悪い所だけの治療は必ずいつか悪くなります。
悪い所は全部治し、予防医療にシフトするように提案します。
最近歯科にもCTが導入されてきていますが、CTのグレードも様々です。
ほとんどがパノラマレントゲンとの併用機種で、立って撮影するものでありCT専用機ではありません。
当院は歯科界最高グレードのCT朝日レントゲンalphard vegaを導入しております。
CT専用機であり座ってもらって撮影することが出来ます。
撮影範囲の広さはずば抜けて広く、頸椎から頭蓋骨まで撮影が出来、頭頸部の歪みまで診断が可能です。
またCT専用機のため、画像も他よりも鮮明です。
そのため歯だけでなく、顎関節を含めた体の歪みの診断に有効です。
ほとんどのCTがインプラントや根の治療だけの仕様になっていますが、このようなことが出来るCTはalphard vegaしかありません。
全身を考えた歯の治療をする為にはこの広範囲CTが必須です。
大学に導入するCTであり、広島県で2台(中四国で5台)しかありません。

歯の咬み合わせが悪いと身体に色々な影響を及ぼします。
逆に体が悪くても噛み合わせに影響を及ぼします。
歯は体の一部なので当然です。
筋肉は筋膜で頭から足までつながっています。
よって歯だけ治せば良いか、体から影響している為体と歯を一緒に治さなければならないか診断する必要があります。
歯にスポットをあてると、顎がずれている、顔が老けた、良く咬めない、銀歯がとれる、虫歯が多い、歯がぐらぐらする、歯が抜けた、肩がこる、歯がしみる、歯ぎしりをするetc.
咬み合わせの不調和は、顎の高さのずれ、横ずれ、上下の歯が当たっていない、銀歯が適切な位置に当たっていない、力のベクトル方向が違うetc.があります。
それは本来の歯の形をしていない銀歯が原因のことがあります。
それにより顎がずれたり、咬み合う歯がすれたり割れたりします。
物を直すときに、なんにしても必ず元の形で直すはずです。
当然銀歯は、天然歯(何も処置していない歯)の形で治すべきです。
上下の歯がどこかで当たればよいというものではありません。
ドクターだけでは良い診療はできません。
ハイレベルな技工士、衛生士、そして専門のドクター。
それぞれが勉強会などで活躍し、専門医、衛生士、技工士、全員がたえず勉学に励み
知識を共有しながら、同じ考えのもと連携をとりながらチーム医療をおこない、
より質の高い治療を目指しています。
予防という言葉は最近よくお聞きになると思います。
歯を削らないようにすると言っても、具体的にはどうするのかというところが曖昧になって分からないと思います。 
予防というのは歯石を取ったりPMTCで磨いたりすることではありません。残すのが厳しい歯を残すということでもありません。 
フロンティア歯科クリニックの予防の考えは
『悪くなった原因を探り、その原因を除去し、
生体の治癒力を最大限に生かして悪いところを治し、再発しにくい状態に環境を整え、
疾病を未然に防ぐ』 
ということです。
対症療法から原因除去療法への転換です。
義歯、被せものの金属はいろいろな操作の過程で変形をおこします。
型どりの材料の収縮、石膏の硬化膨張など必ず変形が起こります。どの歯医者でも同じ精度の義歯、被せものが入るわけではなく、扱いにより様々です。
この裏方の作業が大変重要になってきます。
セット時の調整が多いのはここで大きな変形がおきています。どれだけ変形しないよう取り扱うかがキーポイントとなります。
患者様の見ていないところも妥協せず。フロンティア歯科クリニックではできるだけ変形が少ないシステムを取り入れ、
できる限り被せものや義歯をセットする時の無調整を目指しています。調整の少なさを感じていただけていると思います。


器械で型を取る材料を練ることにより、誰がしてもいつも極めて同じ精度で型どりができます。
アルジネートという型どりの材料はお口の中からとった瞬間から変形を始めます。そのため即座に石膏を流す必要があります。
その代償としてお待ちしていただくようになりますがご容赦願います。
しかしそれほど大切なことなのです。
石膏も超硬石膏、硬石膏、普通石膏とありますが硬いほど変形が少ないです。フロンティア歯科クリニックは材料も変形が少ないものを使用し、超硬石膏と硬石膏しか使用していません。


型どりの材料、石膏ともに計量器で図り、もっとも変形の少ない状態で材料を扱っていることでいつも一定の精度を保つことができます。
変形を防ぐためにはある程度の湿度のある場所でなければなりません。石膏が硬化するまでは変形の少ない状態(保温器)で保管をしています。

精密な治療をするためには見えることが必須です。
そのためにフロンティア歯科クリニックではマイクロスコープと拡大鏡を使用しています。
フィーリングで治療するのではなく、見て確認して治療をする必要があります。
見えないところは見えるように、見えるところはより精密に治療をおこなっています。

痛くないから状態が良いわけではありません。
見えるところは痛みがなくても分かりますが、見えないところはわかりません。
そのようなところほど妥協せず診療しています。
例えば
・根の治療
・歯茎の下の歯石
・歯の土台の形成
・最小限の切削による虫歯の治療
など
どれもそれなりに時間がかかっていると思います。
見えにくいところは見えやすい所よりも時間がかかるのは当たり前です。
見えないところほど患者様に納得してもらえる治療を心掛けています。

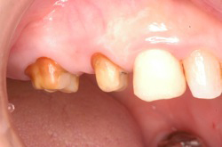
金属が被る前の土台です。
どんな形でも隙間があれば金属はできますが、以下の理由で歯の形(山と溝を作る)として土台を削る必要があります。
・被せものに歯の形を与えないといけない
・金属を一定の厚みになるように削って金属の変形をなくす
・表面をピカピカにすることにより中のセメントが
 溶けだしにくく虫歯になりにくい取れにくい金属にする。
精密な機械は精密な寸法に表面がきれいに研磨されていないとすぐ壊れるといいます。
歯も同じと考えています。